Ortodoncia Invisible en Córdoba

tratamiento Invisalign en Córdoba

Expertos en tratamientos Invisalign en Córdoba

Invisible, estética, convencional con brackets metálicos o cerámicos, con alineador invisible Invisalign, cada vez hay más opciones para tu tratamiento ¿cuál elegir?.

No creemos que haya un solo tipo de sistema de ortodoncia para resolver todos los casos, hay veces que un caso quedará mejor terminado con uno que con otro, en cada tratamiento y persona el movimiento de los dientes es diferente, por lo cual, nosotros te asesoramos sobre los pros y contras de cada uno para tu caso, pero la última palabra siempre la tendrás tú.

Corrige tu sonrisa con ortodoncia invisible

En Dental Lucena & Morales, donde convertimos sonrisas en obras de arte. Si estás buscando ortodoncia invisible en Córdoba, estás en el lugar indicado. Aquí, la invisibilidad es poder. Descubre cómo podemos rediseñar tu sonrisa sin que nadie lo note.

Nos enorgullece ser una clínica líder en ortodoncia Invisalign en Córdoba. Nuestro equipo de dentistas está altamente especializado en esta innovadora técnica que promete rediseñar tu sonrisa sin el uso de aparatos ortopédicos visibles. Sí, has oído bien: ortodoncistas Invisalign a tu servicio.

ORTODONCIA CON INVISALIGN
O ALINEADOR INVISALIGN

Invisalign® es nuestra primera elección en la clínica dental por las comodidades que presenta, la efectividad del sistema y la planificación digital que nos permite.

Consiste en una serie de alineadores o fundas transparentes que adaptan en tus dientes y corrigen su posición. Soy muy cómodos y hechos a medida para ti.

Más información
ORTODONCIA CON BRACKETS
ESTÉTICOS Y METÁLICOS

 

La Dra. Marta Morales realizó un Máster sobre la técnica Damon® en Madrid, por lo que conocemos muy bien su funcionamiento. Actualmente son una de las mejores marcas del mercado. 

Existen diferentes tipos: zafiro, cerámicos y autoligado estético. Disponemos de todos ellos en nuestra clínica dental.

Más información
Doctores especialistas
DRA. MARTA MORALES

Especialista en Ortodoncia y Ortopedia Dentofacial.

  • Licenciatura en Odontología. Universidad de Granada.
  • Doctora en Odontología con calificación de sobresaliente “cum laude”. Universidad de Sevilla.
  • Máster en Ortodoncia y Ortopedia Dentofacial Multidisciplinar. Universidad de Sevilla. Dedicación exclusiva durante 3 años. Máster certificado NEBEOP (Network of Erasmus Based European Orthodontic).
  • Certificado oficial del Sistema Invisalign®. Madrid. Categoría Platinum.
  • Máster en Ortodoncia Plástica. Sistema Invisalign®. Barcelona.
  • Profesora colaboradora en el Máster de Ortodoncia de la Universidad de Sevilla.
  • Certificado de Excelencia Médica TopDoctors®.

 

DRA. MARTA MORALES
Ortodoncia y ortopedia dentofacial
DR. CARLOS DE JULIÁN

Especialista en Ortodoncia y Ortopedia Dentofacial

  • Profesor en el Máster de Ortodoncia. Universidad de Sevilla.
  • Licenciatura de Odontología. Universidad CEU-Cardenal Herrera (Valencia), 2011-2016.
  • Doctorando en Odontología. Universidad de Sevilla.
  • Máster Universitario en Ortodoncia y Ortopedia Dentofacial. Universidad CEU-Cardenal Herrera. Valencia.
  • Tweed Study Course. Charles H. Tweed Foundation. Tucson, Arizona. EEUU.
  • Certificado en Sistema Invisalign®, Spark Clear Aligner®, Angel Aligner®, Win®.
  • Asistencia a congresos y formación continuada constante en Ortodoncia.
  • Presentación y publicación de diferentes artículos de la especialidad en revistas de alto impacto.
  • Miembro de Sociedades Científicas relacionadas con Ortodoncia.

 

DR. CARLOS DE JULIÁN
Ortodoncia y ortopedia dentofacial

La Dra. Marta Morales y el Dr. Carlos de Julián, son ortodoncistas con dedicación exclusiva en su especialidad, formados con un Máster Universitario Oficial por la Universidad de Sevilla y un postgrado sobre ortodoncia invisible. A ésto hay que añadir muchos cursos de formación y asistencia a congresos. Puedes ver casos clínicos resueltos en la web.

Ambos forman parte de la Asociación Española de Especialistas en Ortodoncia (AESOR). Dicha asociación reúne a grupos de especialistas en ortodoncia de Europa cuya formación y ejercicio profesional cumplen los estándares europeos.

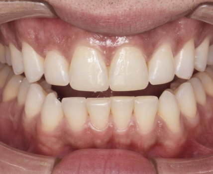
Caso resuelto Invisalign®

Ortodoncia Invisible en adulto

Paciente de 30 años de edad que acude nuestra clínica en Córdoba para mejorar tu su sonrisa y frenar los desgastes dentales provocados por el bruxismo. Realizamos un tratamiento de ortodoncia invisible, seguido de un blanqueamiento dental para aportar luminosidad y belleza a la sonrisa.

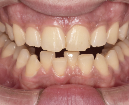
Caso resuelto Invisalign®

Ortodoncia Invisible en adulto

Paciente de 27 años que acude a nuestra clínica en Córdoba para realizarse un tratamiento de Ortodoncia Invisible, sin brackets. Realizamos, como en todos los casos, un estudio detallado y logramos diseñar su nueva sonrisa en tan solo 11 meses de tratamiento.

Caso resuelto Invisalign®

Ortodoncia Invisible en adulto

Paciente joven que acude a nuestra clínica en Córdoba para realizarse un tratamiento de Ortodoncia Invisible, sin brackets.

Caso resuelto Invisalign®

Ortodoncia Invisible en adulto

Paciente joven que acude a nuestra clínica en Córdoba para realizarse un tratamiento de Ortodoncia Invisible, sin brackets.

Contacta con nosotros

    Elige localización



    Somos categoría Platinum en Invisalign®

    La Dra. Marta Morales realizó un Máster de Ortodoncia Invisible en Barcelona.

    Ha realizado numerosos tratamientos con esta técnica y por ello posee la categoría Platinum de Invisalign®. Actualmente la mejor marca de Ortodoncia Invisible es Invisalign®.
    Por eso, al elegirnos, estará accediendo a un servicio profesional exclusivo y de la más alta calidad. ¡Ven a visitarnos!

    «El éxito del tratamiento con Ortodoncia Invisible no depende únicamente de los aparatos, sino de la experiencia y formación profesional del doctor que lo realice»

    Dra. Marta Morales

     

    PREGUNTAS FRECUENTES

    ¿En qué consiste la ortodoncia invisible?

    La ortodoncia invisible, también conocida como Invisalign, es un tipo de tratamiento de ortodoncia que utiliza alineadores plásticos personalizados para enderezar los dientes. Estos alineadores son casi imperceptibles y se pueden retirar fácilmente para comer, cepillarse los dientes y hacer otros procedimientos de higiene oral.

    ¿Cómo se ve una sonrisa con ortodoncia invisible?

    Imagina poder sonreír sin sentirte autoconsciente. Con ortodoncia invisible en Córdoba, tus dientes se alinearán progresivamente mientras mantienes la naturalidad de tu sonrisa. A simple vista, es casi imposible notar que llevas algún tipo de tratamiento dental.

    ¿Cómo funciona la ortodoncia invisible?

    El tratamiento comienza con un diagnóstico detallado y un plan de tratamiento personalizado. Utilizamos tecnología de vanguardia para crear alineadores que se ajusten perfectamente a tus dientes. Cada par de alineadores se utiliza durante aproximadamente dos semanas antes de cambiar al siguiente conjunto. Gradualmente, tus dientes se alinearán hasta alcanzar la posición deseada.

    ¿Cuánto cuesta el tratamiento de Invisalign?

    Sabemos que el precio de la ortodoncia invisible en Córdoba es una de tus principales inquietudes. El costo varía según la complejidad del caso y la duración del tratamiento. Sin embargo, en Lucena Morales, ofrecemos diversas opciones de financiamiento para que la sonrisa de tus sueños no quede en el plano de lo inalcanzable.

    ¿Cuánto tiempo dura el tratamiento Invisalign?

    La duración del tratamiento de ortodoncia invisible en Córdoba varía según las necesidades individuales. En general, puedes esperar que el tratamiento dure entre 12 y 18 meses, aunque cada caso es único.

    Proceso Ortodoncia invisible – Invisalign

    Paso 1. Escáner Dental 3D®

    ¡Ya no tomamos los clásicos moldes y pastas de los dientes! Mediante el escáner digital iTero® escaneamos tus dientes para obtener una imagen 3D de tu mordida inicial. Mucho más rápido y cómodo para el paciente.

    Paso 2. Diseña tu nueva sonrisa

    ¡Ya no tomamos los clásicos moldes y pastas de los dientes! Mediante el escáner digital iTero® escaneamos tus dientes para obtener una imagen 3D de tu mordida inicial. Mucho más rápido y cómodo para el paciente.

    Paso 3. Fabricación de tu aparato de Ortodoncia Invisible

    ¡Ya no tomamos los clásicos moldes y pastas de los dientes! Mediante el escáner digital iTero® escaneamos tus dientes para obtener una imagen 3D de tu mordida inicial. Mucho más rápido y cómodo para el paciente.